


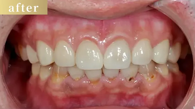
・治療回数 4回
・治療費用 1,326,600円
※2025年9月現在
・費用詳細
仮歯7本×8,800円
ジルコニアセラミッククラウン
7本×165,000円
静脈内鎮静法計4時間:110,000円


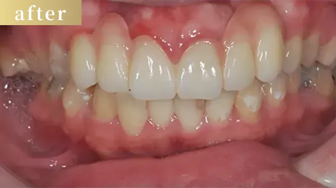
・治療回数 4回
・治療費用 1,376,100円
※2025年9月現在
・費用詳細
抜歯3本×16,500円
仮歯7本×8,800円
ジルコニアセラミッククラウン
(連結冠)7本×165,000円
静脈内鎮静法計4時間:110,000円

無痛治療はすべての治療が自由診療となり
下記料金は自由診療の料金です。
保険診療は患者様のご負担が約3割なのに対して、自由診療は全額負担になります。 しかし、自由診療では最先端の機器や技術などを使用可能なため、精度が高く、短期間に治療を終えることが可能です。 当院では保険診療と自由診療の違いを説明し、ご納得いただいたうえで治療を行いますので、お気軽にご相談ください。


私たちは、「痛みを取り除くこと」や「歯をきれいに治すこと」だけを目的とした治療を行っているわけではありません。
本当に目指しているのは、治療を通じて患者さまの人生そのものを前向きに変えることです。
たとえば、歯並びや見た目にコンプレックスを抱えていた方が、治療をきっかけに自信を取り戻し、笑顔や行動までも変わっていく。
そんな瞬間を、私たちは数多く見てきました。だからこそ、一人ひとりの患者さまと丁寧に向き合い、時間をかけて本質的な治療を行うことを何より大切にしています。
また、医師・技工士・専門医が連携して一人の患者さまを支える「チーム医療」の体制を整えています。
これは私たちがこれまで培ってきた経験と信念の結晶であり、安心・安全で、確かな結果を導くための仕組みです。
治療を終えたとき、患者さまが鏡の前で笑顔を取り戻し、人生が明るく変わっていく。
その瞬間のために、私たちは日々の診療に全力を尽くしています。
理事長/統括院長/歯科医師
小野 貴庸

全クリニック駅チカ5分以内
渋谷
JR渋谷駅徒歩4分
東京メトロ渋谷駅B1番出口徒歩1分
LINE相談はこちら
0120-829-709
自由が丘
東急東横線・東急大井町線
「自由が丘」駅徒歩3分
LINE相談はこちら
0120-924-475
北区王子
JR王子駅北口徒歩1分
東京メトロ南北線5番出口徒歩1分
LINE相談はこちら
0120-948-395
秋葉原
「秋葉原」駅から徒歩1分
「末広町」駅から徒歩5分
LINE相談はこちら
0120-923-794